Ngày càng nhiều ca phẫu thuật phức tạp được thực hiện thành công tại Bệnh viện FV, đánh dấu sự tiến bộ trong lĩnh vực y tế. Mới đây, bệnh viện đã thực hiện thành công ca phẫu thuật loại bỏ khối u não có kích thước lên đến 6cm. Đây là một ca mổ đáng chú ý không chỉ vì kích thước lớn của khối u mà còn nhờ sự phối hợp chặt chẽ giữa nhiều chuyên khoa và ứng dụng công nghệ hiện đại.


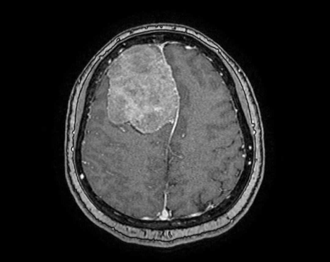
Chị Trịnh Nhật Khánh, một nữ võ sư 45 tuổi sống tại TP.HCM, là bệnh nhân mới nhất trải qua ca phẫu thuật này. Khối u màng não rất lớn, có kích thước lên đến 6cm, đã được phát hiện trong quá trình tầm soát đột quỵ tại Bệnh viện FV. Khối u này chèn ép gần 1/4 não, gây ra nhiều nguy cơ biến chứng nguy hiểm. Các bác sĩ đã nhận định rằng khối u cần được loại bỏ sớm để đảm bảo an toàn cho bệnh nhân.

Trước khi tiến hành phẫu thuật, các bác sĩ đã lên kế hoạch chi tiết, bao gồm việc thuyên tắc mạch máu nuôi khối u. Quá trình này giúp giảm thiểu rủi ro mất máu trong quá trình mổ, đảm bảo sự an toàn cho bệnh nhân. Hệ thống định vị dẫn đường thần kinh Navigation và hệ thống cắt đốt u bằng siêu âm đã được sử dụng để đảm bảo ca mổ thành công.

Ca phẫu thuật kéo dài 4 giờ đồng hồ, các bác sĩ đã bóc tách tỉ mỉ khối u và lấy ra khỏi não bệnh nhân mà không gây tổn thương mô não xung quanh. Đây là một thành công đáng kể, nhờ vào sự phối hợp chặt chẽ giữa các chuyên gia và công nghệ hiện đại. Chỉ 2 giờ sau mổ, bệnh nhân đã hồi phục ngoạn mục, đánh dấu một cột mốc quan trọng trong quá trình điều trị.

Sự phối hợp giữa các chuyên gia và công nghệ hiện đại đã giúp giảm thiểu nguy cơ mất máu trong phẫu thuật, từ đó giảm thiểu rủi ro cho bệnh nhân. Kết quả là, bệnh nhân đã trở lại cuộc sống bình thường sau ca mổ, với sức khỏe đạt mức 90% so với trước đây. Thành công của ca phẫu thuật này thể hiện sự chuyên nghiệp và tâm huyết của đội ngũ y bác sĩ tại Bệnh viện FV, cũng như ứng dụng hiệu quả của công nghệ hiện đại trong lĩnh vực y tế.

Như vậy, có thể thấy, Bệnh viện FV không chỉ là một cơ sở y tế uy tín mà còn là nơi tiên phong trong việc ứng dụng công nghệ hiện đại để điều trị các bệnh lý phức tạp. Với đội ngũ bác sĩ giàu kinh nghiệm và sự hỗ trợ của công nghệ, bệnh viện tiếp tục mang đến những hy vọng mới cho các bệnh nhân có nhu cầu điều trị phẫu thuật phức tạp.
